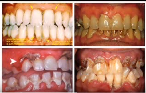
Cara Merontokkan Karang Gigi Secara Cepat dan Alami - Merontotokkan Karang Gigi merupakan cara menghilangkan karang gigi yang menempel di Gigi. Gigi pada dasarnya memiliki banyak celah dimana sisa makanan bisa bersembunyi disana. Saat anda mengunyah makanan pasti ada sisa makanan yang tertinggal di mulut. Celah yang ada pada gigi sulit di jangkau oleh sikat gigi.
Sebagian besar sikat gigi hanya akan bergerak di bagian depan gigi saja, namun tidak bisa mencapai celah terdalamnya. Yang bisa mencapai sampai ke celah terkecil dari gigi hanya air. Oleh karenanya ada obat kumur yang bisa lebih ampuh menghilangkan bekas makanan pada gigi. Kenyataannya memang demikian. Zat cair akan jauh lebih mudah menjangkau sela-sela gigi dan mengangkut sisa makanan yang masih menempel.
Berikut Video Cara Merontokkan Karang Gigi Lengkap:
Berikut Video Cara Merontokkan Karang Gigi Lengkap:

Tidak ada komentar:
Posting Komentar